

İlk haftada her iki yumurtalıkta gelişmeye başlayan bir grup yumurta hücresi, kendi aralarında bir yarışa girerek döllenme şansı en yüksek olan en büyük yumurta haline gelmeye çalışırlar. Bu yarışı kazanan yumurta giderek büyür ve diğer yumurta hücrelerinden belirgin olarak büyüyüp "dominant folikül" haline gelir. Bir süre sonra bazı hormonların etkisiyle bu dominant folikül çatlar ve içindeki yumurta karın boşluğuna atılır. Karın boşluğuna atıldıktan sonra tüpler tarafından yakalanan yumurta yaklaşık 12-24 saat süreyle döllenmeyi bekler. Döllenme olursa (yumurta ve sperm hücrelerinin birleşmesi ile döllenme gerçekleşir) gebeliğin ilk aşamasına geçilir. Eğer döllenme olmazsa yumurta ölür ve bunu takiben yaklaşık 14 gün sonra adet kanaması oluşur. İki adet döneminin ortasına denk gelen yumurtanın çatladığı günler, kadının gebe kalma şansının en yüksek olduğu dönemdir. Bu dönemde gebelik planlayan çiftler gün aşırı veya her gün cinsel ilişkiye girmelidirler. Bir adet döneminde gebelik elde etme şansı yaklaşık %20 olduğundan gebelik elde edemeyen çiftlerin, morallerini bozmadan benzer şekilde bir sonraki ayda da yumurtalama günlerine denk gelecek şekilde cinsel ilişkiye girmeye devam etmelidirler. Genel olarak bir adet döneminde kadında sadece 1 yumurta üretilir ve çatlar. Çift yumurta ikizlerinde ve üçüzlerinde farklı olarak tek bir yumurta değil birden fazla yumurta gelişir ve çatlar. Bu yumurtaların hepsi döllenir ise çoğul gebelik oluşur.
Bütün bu olaylar esnasında bir yandan da “endometrium” adı verilen rahim içi de kalınlaşmaya başlamıştır. Bu kalınlaşmanın amacı döllenme meydana geldikten sonra oluşacak döllenmiş yumurtanın (embrio) rahim içinde rahatlıkla tutunmasını sağlamaktır. Yani minik bebek için bir nevi rahim içinde yatak hazırlanır. Böylece yeni gelişecek olan canlının bütün ihtiyaçlarını karşılamak üzere vücudun bu kısmında kanlanma artar.
Yumurta çatladıktan sonra döllenme gerçekleşirse döllenmiş yumurta tüpler içinde yaklaşık bir hafta süren uzun bir yolculuğa başlar. Yolculuk sırasında döllenen yumurta hızla şekil ve içerik değiştirir. Eşlerin her ikisinden de gelen kromozomlar yumurta hücresi içinde birleşip, hızla bölünüp çoğalarak bir hücre kümesi oluşturur. Bir süre sonra döllenen bu yumurta bölünmeye başlar. 2,4,8 hücre şeklinde bölünmelere devam eden yumurta tüplerden rahime ulaştığında 32 hücrelidir ve “morula” ismini alır.
Bebeğinizin cinsiyetinin ne olacağı tamamen eşinizin sperm hücrelerinin taşıdığı X ve Y kromozomuna bağlıdır. Yani eşinizin X kromozomu taşıyan sperm hücresi yumurta hücrenizi döllerse çocuğunuz KIZ, Y kromozomu taşıyan sperm hücresi yumurtanızı döllerse bebeginiz ERKEK olacaktır. Yani cinsiyet X veya Y kromozomu taşıyan sperm tarafından döllenme sırasında belirlenir.
Kadının yumurtalıklarından üretilen yumurta hücresi erkeğin spermi ile döllendikten sonra embriyo (bebek) oluşur. Embriyo döllenmeden yaklaşık 7 gün sonra (bu esnada tüplerde yolculuk ederek rahim içine ulaşmıştır) kalınlaşmış rahim iç duvarına yapışır.
Henüz adet gecikmesi olmamıştır. Bugünlerde adet kanamasını bekleyen anne eğer adet göremezse kanda veya idrarda gebelik testi yaptırabilir.
Hamileliğin ilk belirtisi geciken adet kanamasıdır. Bulantı hissi, sabah halsizliği ve kusma da diğer erken belirtilerdendir. Sık ve az öğünlerle beslenmek, sabah kalkmadan önce hafif bir şeyler atıştırmak oldukça etkilidir. Genellikle bu şikayetler ilk trimestrinin (ilk 3 ay) bitmesiyle beraber kaybolur. Bunun yanında aşerme olarak da adlandırılan, bazı gıdalara ve tatlara karşı aşırı istek duyulması da görülebilmektedir.
Anne adayı henüz bir değişiklik hissetmese de gebelik kesesi (gestasyonel sac) oluşmaya, göbek kordonu (yolc sac) sayesinde embrio'ya oksijen ve besin taşımaya başlamıştır. Gelişen bebek adayı artık sizden yeterli vitamin, folik asit, protein, kalsiyum, demir vb. beklemektedir. Özellikle gebe kalmadan birkaç ay öncesinden itibaren günde 400 mikrogam Folik asit almaya başlamalısınız.
Bebek anne rahmi içinde amnion denilen bir sıvı içinde gelişir. Bu sıvı bebeğin rahat hareket etmesini sağlar, darbelerden korur ve bebeğin akciğerlerinin, sindirim sisteminin ve diğer pek çok organının sağlıklı gelişiminde rol oynar.
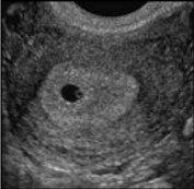
Transvaginal ultrasonografi ile gebelik kesesi ( gestasyonel sac) rahim içinde saptanabilir. Gebelik kesesi genel olarak 4 hafta+3 gün gibi erken bir dönemde saptanabilir. Rahim iç duvarında 3-5 mmlik içi koyu renkli halka şeklinde gözlenir.

Beklenen adet gecikmiştir. Sabah yorgunluğu, bulantı ve bazen kusma, aşerme (iştah değişiklikleri), meme uçlarının koyulaşmaya başlaması, memede gerginlik, sık idrara çıkma gibi bazı erken gebelik bulguları yavaş yavaş ortaya çıkmaya başlar. Ancak annede hiçbir değişiklik olmadan da gebelik devam edebilir.
Vajinal kanama ya da lekelenme ile karşılaşıldığında mutlaka doktora danışılması gereklidir. Görülen kanama ciddi olmayabilir, ancak düşük ve dış gebelik olasılığı açısından mutlaka değerlendirilmesi gereklidir. Kramp veya karın ağrısından şikayet ediliyorsa yine mutlaka doktora başvurulmalıdır.
Gebelik kesesi (gestasyonel sac) artık transvaginal ultrasonla 5.haftada mutlaka rahim içinde görülmelidir.Yaklaşık 1 cm büyüklüğe ulaşır. Bu esnada kanda gebelik testi B-HCG 1500-2400 civarındadır. Gebelik kesesi kalınlaşmış rahim iç duvarı içinde yaklaşık 8-10 mm boyutunda koyu renkli bir halka şeklinde görülür ve günde 1-2 mm büyür. Gebelik kesesi yaklaşık 1 cm büyüklüğe ulaştığında yolc sac da görünmeye başlar. Ortalama 1.5 cm çaplı gebelik kese içinde embrio ve yolc sac birlikte görülür.
Bu esnada embrio gebelik kesesi içerisinde hızla gelişmektedir. Yaklaşık 2-5 mm boyutundadır ve 3-4 mm büyüklüğünde yuvarlak beyaz halka şeklinde izlenen yolc kesesine yakın yerleşimlidir.

Artık jinekolojik muayene ile rahim ve vajendeki değişmeler belirlenebilir. Gebelik bulantı veya kusmaları yoksa, anne adayı yavaş yavaş kilo almaya başlar. Ancak bulantı ve kusma nedeniyle bir miktar kilo kaybı da olsa bunun bebek üzerinde genellikle olumsuz bir etkisi yoktur. Genellikle ilk 3 ayda (12 hafta ) ortalama 1 kilo alınmaktadır.
Bu dönemde çok hızlı bir büyüme ve değişim söz konusudur. Bebeğinizin kalp atımları transvaginal ultrasonla saptanır. Doppler ultrasonla duyulabilir.
Bu dönem bebeğin organ gelişimi için oldukça önemli olmasından dolayı alkol, sigara gibi bebeğe zararlı olabilecek maddelerden uzak durulmalıdır.
Artık anne adayı vücudunda değişiklikler hissetmeye başlar. Sabah yorgunluğu ve aşerme gibi erken gebelik bulguları belirginleşmiştir. Memelerde dolgunluk ve gerginlik olur.
7. haftada embriyonun baş-popo mesafesi (CRL) 6 mm den 11 mm’ye büyür. Gelişmenin bu fazında beyin hızlı geliştiğinden baş vucudun diğer kısımlarına göre daha büyük görülür.
6 ile 7. haftadan sonra bebeğinizin kalp atımı dakikada 120 vurudan 160 vuruya kadar artar. Dakikada 85 vurunun altındaki kalp atımları gebeliğin bozulması ile ilişkilidir ve takip ultrasonlarının yapılması gerekir.
Gebeliğinizin sağlıklı gidişatı açısından embrio uzunluğunun amniotik kese büyüklüğüne oranı önemli bir parametredir. Normal erken gebeliklerde amniotik kese-embrio uzunluğu 5mm’den büyük olmalıdır. Yolc kesesi de normal gebeliklerde tipik olarak 6 mm’nin altında olmalıdır.

Rahim gebelikten önce yumruk büyüklüğünde iken, artık portakal büyüklüğüne ulaşmıştır. Büyümekte olan rahime bağlı olarak kasıkta, karnın alt kısımlarında gerilme ve zaman zaman kramp tarzında ağrılar olabilir. Ağrılar çok şiddetli ise mutlaka doktorunuza başvurmalısınız.
Bebeğiniz süratle büyümeye devam etmektedir. Embrio 14 mmden 21 mm uzunluğa ulaşır. Baş halen büyük ve belirgin yapıdadır ve kalp çıkıntısının üzerine kıvrılmıştır. Yolc kesesi giderek küçülür.
Rahim hızla büyümektedir. Ancak hala gebelik dışarıdan bakmakla anlaşılamaz. Hazımsızlık, gaz şikayeti ve mide yanması olabilir. Ağlama, sıkıntı gibi duygusal değişiklikler olabilir.
Fetus artık hem vaginal hemde abdominal( karın) ultrasonografi ile rahatlıkla değerlendirilebilir. Baş-popo uzunluğu yaklaşık 2 ila 3 cm’dir. Embrio insan şeklini kazanmıştır. Ultrasonda baş, gövde ve ekstremiteler saptanabilir. Bebeğin kol-bacak ve vücut hareketleri ultrasonda görülebilir. Fetus ekstremitelerini ve gövdesini kımıldatmaya başlar ve rahim içinde takla atarken görülebilir. Ancak anne bunu hissedemez. Cinsiyeti görebilmek mümkün değildir.
Gebelik hala dışarıdan bakmakla belli değildir. Ancak anne yavaş yavaş daha gevşek ve bol giysiler giymeye başlar. Artık sonuna yaklaşmakla birlikte duygusal değişiklikler ve aşerme devam etmektedir.
Kalp büyük ölçüde gelişimini tamamlar. Gövdenin dışında gelişmiş olan bağırsaklar karın boşluğu içine doğru iyice hareket ederler. Diz ve ayak belirginleşir. Ayak parmakları ve tırnakları belli olur. Kaslar güç kazanmaya başlar. Kız bebeklerde klitoris erkek bebeklerde ise penis gelişir. Böbrekleri idrar üretir, kol ve bacak hareketleri başlar. Boy: 5.5 cm. Ağırlık: 6 gr.dır. Hemen hemen bütün eklemler ve kasların oluşumu tamamlandığı için bebek artık su kesesi içinde hareket eder, ancak bu hareketleri sizin hissedebilmeniz mümkün değildir.

Annede, rahim karın alt kısmında ele gelebilir. Annenin diş etlerinde, tırnaklarında ve cildinde değişiklikler olabilir.
Gebeliğin en kritik dönemi artık sona ermiştir. Bu haftada beyin hızla büyümesini sürdürmektedir ve fetus'un boyunun yarısını kafa oluşturmaktadır. Başı ile gövdesi hemen hemen aynı boyuttadır. Organ gelişimi büyük ölçüde tamamlanmıştır. Fetus'un gözleri kapalıdır ve bu göz kapaklarının altında iris tabakası olgunlaşmasına devem etmektedir. Böbreklerde idrar üretimi başladığından içinde yüzdüğü amniyon sıvısının da miktarı artmaya başlar ve bu haftada yaklaşık 50 ml olur. Bebek tekmeler atmasına rağmen anne henüz hissedemez. Boy: 7 cm. Ağırlık 8gr.
Erken yapılan zeka testi olan 11-14 hafta ikili tarama testi ve ense kalınlığı ölçümü bu haftadan itibaren yapılabilir.
Aşerme, bulantı-kusma ve sabah yorgunluğu azalmaya başlar.Bu zamana kadar yaklaşık 1-1,5 kg almış olabilirsiniz.
Bebeğin yüzü insan görünümündedir, ağız içinde ise üst damak birleşmeye başlamıştır. Yüz derisi içinde kıl kökleri belirmeye başlar. Ellerde ve ayaklarda tırnaklar uzamaya başlar. Bu haftada bebeğin bütün iç organları çalışır durumdadır. Çişini yapabilir. Tırnaklar gelişir. Bu haftadan sonra bebeğinizin ilaçlardan ve zararlı etkenlerden zarar görme olasılığı azalır. Cinsel organları cinsiyetini ortaya koyacak kadar gelişmiştir. Ancak ultrasonda bu ayrımı yapmak mümkün olabilir, ancak yanılma payı yüksektir. Boy:8 cm, Ağırlık: 18 gr.
11-14 hafta ikili tarama testi ve ense kalınlığı ölçümü yapılabilir.
Gebeliğin erken bulguları ve yarattığı şikayetler hemen hemen hiç kalmamıştır. Bu dönemde çok fazla yorulmamak ve mümkün olduğunca dinlenmek gerekir. Rahim büyüdükçe gerilir ve etrafını çevreleyen organları ve kendisini yerinde tutan bağları gerer. Bu hafif bir kasık ağrısı şeklinde algılanabilir. Şimdiye kadar bulantı-kusma, sabah yorgunluğu gibi nedenlerle kilo alamamışsanız artık kendinizi daha iyi hissetmeye ve kilo almaya başlayacaksınız.
Göbek kordonu plasentadan fetusa gerekli maddeleri taşırken, fetustaki artık maddeleri de annenin dolaşım sistemine aktarır.
Baş-popo uzunluğu 6-8 cm kadardır. Baş vücuttan büyük veya vücut kadardır. Gözler birbirine daha yakın, görünüm gittikçe daha çok insana benzemektedir. Barsaklar karin içerisindeki normal yerlerine geçer. El ve ayak parmakları tamamen oluşmuş, eklemler çalışmaktadır. Dış cinsel organlar artık görünür hale gelmiştir.
Artık hamile olduğunuz dışarıdan bakıldığında yavaş yavaş anlaşılmaya başlar. Belinizde hafif ağrı, kabızlık, tansiyonunuzda hafif düşmeler olabilir. Bulantılar geçmiştir ama yine progesteronun gevşetici etkisi ile mide içeriği yemek borunuza geri döner (reflü) ve yanma olabilir. Beslenme düzelir, enerjiniz artar. Pek çok kadın gebeliğin bu döneminde kaybettiği cinsel dürtülerine yeniden kavuşur. Herhangi bir komplikasyon yok ise gebelikte cinsel ilişki yasak değildir.
Rahmin hızla büyümesi nedeni ile karın kaslarında gevşeme, ciltte (kalça, karın, bacak ve göğüslerde) çatlaklar (stria gravidarum) görülebilir. Gebelikte ortaya çıkan cilt çatlaklarının temelinde cilt altındaki bağ dokusunun içeriğinde kişisel farklılıklar yatar. Çünkü her gebede çatlak olmamaktadır.
Bebeğin baş popo uzunluğu 8-10 cm, ağırlığı yaklaşık 25 gr'dır. Kulaklar başın arkasından daha öne ve yanlara doğru gelir. Çene belirginleşir. Bebeğiniz dışarıdan gelen uyarılara (rahime ultrason probu ile basınç yapıldığında) kıvrılıp doğrularak yer değiştirir. Bebeğiniz artık yutkunmakta ve çişini yapmaktadır.

Rahminiz göbek deliğinizin 4-5 parmak altında hissedilebilir. Amnios suyu artmış ve 250 cc kadar olmuştur.Yavaş yavaş dışarıdan da gebe olduğunuz anlaşılmaktadır. Artmış kan hacminiz nedeniyle ve toplardamarlardaki göllenme nedeniyle burun kanamaları görülebilir, bacaklarda varis oluşabilir.
Yatarken sol yan tarafınıza ( çok rahatsız olursanız sağ yan da olabilir) yatmaya çalışın. Çünkü sırt üstü yatarken bebeğe giden kan akımında azalmalar olabilir. Böyle bir yatış pozisyonu sizi rahatsız ederse sırt ve bacak arasına yastıklar koyabilirsiniz. Eğer varis ve hemoroid (basur) vb. gibi sorunlar yaşıyorsanız dinlenirken (yatarak) bacaklarınızı kalbiniz düzeyine kadar yükseltiniz. Gerekirse destekleyici varis çorapları giyilebilir. Memelerden halk arasında klostrum adı verilen açık renkli sıvı gelebilir. Bu normal bir durumdur.
Bebeğiniz amniyotik sıvıdan içmeye başlamıştır. Hıçkırık görülebilir. Boyu yaklaşık 13 santime, kilosu 75 grama çıkmıştır. Gelişmekte olan bebeğin kafası üzerinde lanugo adı verilen ince ve ipeksi tüyler belirmeye başlar. Bu ilkel saçlar doğumda kaybolurlar. Bu dönemde bebeğin cildi oldukça incedir ve deri altında damarlar görülebilir. Bebeğiniz parmağını emmeye başlamıştır.

Bebeğiniz büyüdükçe sizin rahminizde büyür ve genişler. Rahminiz 250 gram kadardır ve rahim göbek deliğinin 4 parmak altında hissedilebilir. Amnion suyu artmaktadır ve 250cc kadar olmuştur. Bu haftadan sonra, eğer daha önceden de gebelik yaşamışsanız halk arasında "canlanma" denilen barsakta gaz veya karında kas seğirmesi gibi çocuk hareketlerini hissedebilirsiniz. Tecrübeli anne adayları bebeğin ilk hareketini bu haftada hissedebilirler. Ancak hareketin hissedilmemesi anormal bir durum olduğu anlamına gelmez. İlk gebeliğini yaşayanlarda bu 20. hafta civarında gerçekleşir.
Cinsiyet bazı durumlarda 12-14. haftalarda görülebilir, ya da gebeliğin son dönemlerine kadar hiç görülemeyebilir fakat bu çok nadir bir durumdur. Bu haftalarda bebeğin cinsiyetinin saptanması asıl olarak incelemeyi yapan hekimin tecrübesine bağlıdır. Yine bu haftada down sendromu açısından son derece önemli olan üçlü tarama testi yapılabilir. Bu test için ideal zaman aralığı 16-18. haftalardır.
Bebeğin baş - popo uzunluğu 10,75 - 11, 5 cm. ağırlığı 140 gr kadardır. Tırnaklar tam olarak oluşmuştur. Başta ince kıllar ve tüyler (lanugo) daha da belirginleşmiştir. Sinir sistemi gelişimi büyük ölçüde tamamlanmıştır. Sinir uyarıları ve bunlara kasların yanıtı sonucu artarda ince el, kol, bacak, vücut hareketleri görülür. Özel bir stetoskopla çocuk kalp sesleri duyulabilir. Kaş ve kirpikleri oluşur. Ultrason ile cinsiyet tayini yapılabilir. Bebeğin bacakları artık kollarından daha uzundur.
İştahınız gittikçe düzelmektedir. Düşük tehdidi azalmıştır. Yükünüz henüz çok ağır değildir, hareketleriniz çok kısıtlanmamıştır. Yavaş yavaş bebeğinizin hareketlerini dinleyerek çocuğunuzla iletişim kurabilirsiniz. Gebelik büyüdükçe eşinizde çocuk hareketlerini elini karnınıza koyarak hissedebilir.
Eklemlerde gevşeme artarak devam etmektedir. Yataktan kalkarken önce oturup sonra el ve kollarınızın yardımıyla ayağa kalkınız. Dengesiz ve ağır yükler taşımayınız. Yerden bir şey alırken belden eğilmeden diz çökerek alınız. Raflardan iki elinizle ulaşamadığınız yüksekliklerdeki eşyalara uzanmaya (özellikle tek elle) çalışmayınız.
Bebeğin cilt altı yağ depoları bu gebelik haftasından itibaren hızla artmaya başlar. Bebeğin emme, yutma ve göz kırpma refleksleri de bu gebelik haftalarında ortaya çıkar. Bebeğin kemiklerinde kalsiyum depolama işlemi hızlanır. Parmağını emebilir. Bu haftada bebeğin kalbi günde 30 lt. (1.5 kova dolusu kadar) kan pompalar. Bu hafta sonunda boy 18 cm, ağırlık 150 gr’dır.

Bebeğin büyümesine paralel olarak anne adayı da kilo almaya başlar. Bu haftalara kadar 2-4 kilo almak oldukça normaldir. Kalbiniz gebelik öncesine göre %30-50 daha fazla çalışmaktadır.
Bu haftada bebek el ve ayak parmaklarını sık sık açıp kapar. Barsaklarda mekonyum adı verilen ilk dışkı bu gebelik haftasından itibaren oluşmaya başlar. Erkek bebeklerde prostat gelişimi bu hafta başlar ve tamamlanır. Bu hafta sonunda boy 20 cm, ağırlığı 210 gr’dır.Bu hafta ile 22 .hafta arasında yapılacak ayrıntılı bir ultrason muayenesi (2.düzey ultrason) ile normal gelişme , gebelik yaşı , bebeğin cinsiyeti ile ilgili oldukça güvenilir bilgiler elde edilebilir.
Bu dönemde büyüyen rahmin kasılmasına bağlı olarak hafif ağrılar olabilir. Kabızlık, bacaklarda kramp, eklemlerde şişlik, sırt ağrıları olabilir. Gebelik hormonlarının etkisi ile yüz,omuz ve kollarda küçük damar uçlarındaki genişlemelere bağlı olarak kırmızılıklar görülebilir.
Bu haftadan itibaren bebeğin cildini sürekli olarak maruz kaldığı sıvı ortamdan koruma amaçlı vernix caseosa adı verilen madde üretilmeye başlanır. Bu madde beyaz renkli, krem kıvamında ve bebeğin cildini kaplayarak korur. Baş - popo uzunluğu 13 - 15 cm, boy 22 cm, ağırlık 280 gr’dır. Cilt transparan görünümde, altında da damarlar görünür haldedir. Saçları oluşur.

Rahim göbek deliğiniz hizasındadır. Tiroid bezinin çok çalışması nedeniyle normalden daha fazla terliyor olabilirsiniz. Beliniz iyice kalınlaşır.
Bebeğin tırnak, saç ve kirpik oluşumu tamamlanmıştır, bu dönemde yapılacak bir ultrasonografik incelemede organları rahatlıkla seçilebilir. Vücudunun büyük bir kısmı lanuga olarak adlandırılan yumuşak ve tüylü bir tabaka ile kaplıdır.
Bu haftada doğumdan sonra 5 yaşına kadar devam edecek olan hızlı beyin olgunlaşması başlar. Bebeğin koku, tat, işitme, görme ve dokunma duyuları iyice aktif olmaya başlar.
Bebek anne karnında uyku ve uyanıklık dönemlerine girer. Anne, bebek hareketlerini hissetmeye başlar. Boy:25 cm, Ağırlık:340 gr.
Daha önce başlamadıysanız bu haftadan itibaren demir desteğine başlamanız gereklidir. Diyet ile aldığınız demir gebelikte size yeterli gelmeyecektir. Bu nedenle mutlaka dışarıdan destek almalısınız.
Bu dönemde bebeğe yer kazandırabilmek amacıyla öne doğru genişleyen karından dolayı bel ve sırt ağrıları görülebilir. Masaj ve ağrıyan bölgelere sıcak uygulaması önerilmektedir. Rahim göbek hizasını geçmiştir. Artık çevrenizdekiler siz söylemeden gebe olduğunuzu kolaylıkla anlayabilir. Şimdiye kadar yaklaşık 3,5 -5 kg almış olmalısınız. Artmış gebelik hormonları (özellikle progesteron) nedeniyle gevşeyen idrar yollarında idrar akım hızı yavaşladığından dolayı idrar yolları iltihabı kolaylıkla gelişir.
Yine bu dönemde karında düzensiz kasılmalar hissedilebilir. Genelde dinlenme ile geçen bu kasılmalar, düzenli aralıklarla tekrarlıyorsa veya dinlendikten sonraki bir saat içerisinde 4 defadan daha fazla görülüyorsa mutlaka doktora danışmak gereklidir.
Bebeğin kalp kası bu haftadan itibaren güçlenmeye ve daha güçlü bir şekilde kan pompalamaya başlar. Bu nedenle rahim içindeki bebeğin kalp atım sayısı 120-160 arasında değişir. Boy 28 cm, ağırlık 400 gr’dır.
Kramplar daha sık görülmeye başlar. Bazen aşırı derecede rahatsız edici olabilir. Krampları önlemek için kalsiyum ve potasyumdan zengin yiyecekler alabilirsiniz. Yatmadan önce ılık bir bardak süt, muz, greyfurt veya portakal faydalı olabilir. Kramp oluştuğunda sertleşen kasın tersi yönde bacaklarınızı germek krampın daha çabuk düzelmesini sağlayacaktır. Artık dengenizi sağlamakta zaman zaman güçlük çektiğinizi fark edebilirsiniz. Karnınızın büyümesine bağlı olarak vücudunuzun denge merkezi yer değiştirmektedir. Bünye buna aynı hızda uyum sağlayamadığından dengenizi sağlamakta güçlük yaşayabilirsiniz.
Bebek bu dönemde gerçek bir insanın ufak bir modeli gibidir. Seslere hareketle yanıt verir ve güzel sesleri ayırt eder. Çocuğunuzla konuşabilir, hatta ona şarkılar söyleyebilirsiniz. Doğumdan sonra aynı seslerle bebeği daha kolay sakinleştirebilirsiniz. Göz kapakları oluşmuştur ve hareket ettirebilir. Bebek erkek ise testisler ilk gelişim yerleri olan karın içi bölgeden skrotuma inmeye başlar. Bu süreç 32 haftanın sonuna doğru tamamlanır. Bu hafta sonunda boy 29 cm, ağırlık 470 gr’dır.
Gebeliğin başından bu yana yaklaşık 4,5-5,5 kilo almış olmalısınız. Sırt ağrıları daha da artmış olabilir. Bu ağrılar dengesiz bir şekilde karnın ön kısmında taşınan ağırlığın karşılanması için omurga ve etrafındaki kasların yüklerinin artmasına bağlıdır. Sırt ağrılarını gidermek için dengeli hareket etmek, uygun oturuş şekilleri, masaj ve sıcak uygulamaları faydalı olabilir.
Eşiniz elini karnınıza koyduğunda bebeğinizin hareketlerini çok rahat hissedebilir, hatta bu hareketler dışarıdan gözle bile fark edilebilir. Bunun nedeni bebeğin içinde bulunduğu amniyon sıvısının göreceli olarak fazla olmasıdır. Yani bebeğin hareket etmesi için çok geniş bir alan vardır. Bebeğiniz karnınızın içinde takla atabilir, özgürce hareket eder.
Bu haftada bebeğin vücudu giderek normale dönmektedir. Ancak baş vücuda göre hala nispeten biraz daha büyük orta kulak kemikleri de gelişimini tamamlar ve sesler bebeğin işitme merkezine iletilmeye başlanır. Yani bebeğinizin kulakları duymaya başlar. Cilt hala kırışıktır, hızla kilo almaya devam edecektir. Lanugo kılları daha koyu bir renk alır. Boy 31 cm, ağırlık 550 gr’dır.

Kilo artış hızınız ayda 1-1.5 kilo civarında olmalıdır. Hızla kilo alır ve vücudunuzda şişlikler oluşmaya başlarsa doktorunuza danışın. Tansiyon takibi ve idrarda albumin bakılarak gebelik zehirlenmesi (preeklampsi) açısından araştırılması gerekebilir. Vagende kokusuz, sarı-beyaz renkli , normal vajinal akıntı görülebilir.
Bu haftadan itibaren bebeğin algılarının önemli bir kısmı geliştiği ve bebeğin uyaranlara refleks değil, bilinçli cevap verdiği bilimsel veriler tarafından gösterilmiştir. Yani bebek artık öğrenmeye, bilgileri hafızasında depolamaya ve doğru tepkiler vermeye başlamıştır. Oldukça buruşuk olan cildini verniks olarak adlandırılan bir madde kaplamıştır. Bebek parmağını emebilir, öksürebilir, hıçkırabilir. Bebek gözlerini açabilir. Doğduğu takdirde yaşam şansı henüz yok denecek kadar düşüktür. Boy:32 cm, Ağırlık:600 gr.

Karın içinde rahmin hızla büyümesine bağlı olarak mide yanmaları ve hazımsızlık daha da artmıştır. Çocuk hareketlerinin en iyi duyulduğu dönemdir. Az ve sık yemeye, dinlenirken ayaklarınızı yukarıda tutmaya dikkat ediniz. Büyüyen rahmin baskı yapması ve dolaşımın bozulması nedeni ile bacaklarda ve belde ağrılar olabilir. Bazı gebelerde ise bileklerde, el parmaklarında ağrılar olabilir. Bu gibi durumlarda eli yüksekte tutmak, soğuk tatbiki uygulamak oldukça yararlı olmaktadır.
24-28. haftalarda 50 gr glukoz (şeker) yükleme testi yaptırmanız gerekmektedir. Bu test ile daha önce şeker hastalığı olmayan gebelerde bile sadece gebelikte ortaya çıkan, anne ve bebeği olumsuz derecede etkileyebilen şeker hastalığı (gestasyonel diabet) araştırılır. Aç veya tok karına (tercihen açlığı takiben açlık kan şekeri ölçüldükten sonra) 50 gr glukoz içerikli içecek içirildikten 1 saat sonra kan şekeri ölçülür, bu ölçüm 140 mg /dl altında olmalıdır.
Bebeğin cildi artık şeffaf görünümünü kaybetmektedir. Cilt kıvrımlarla kaplıdır. Kalp atımları stetoskopla veya bebeğin pozisyonu da uygunsa karna kulağını dayayan biri tarafından duyulabilir. Boy: 33 cm. Ağırlık: 700 gr.
Bebeğin hızla büyümesi ve hareketlerinin daha güçlü olması nedeniyle kaburgalarınızda ve karnınızda ağrılar olabilir.
Bu haftada bebeğin akciğer gelişimi hızlanır. Akciğerler çalışmaları için çok gerekli olan, surfaktan denilen maddeyi üretmeye başlar. Ayrıca bu haftadan itibaren el ve ayak izleri oluşmaya başlar. Beyin fonksiyonları normal bir yeni doğanınkine benzer. Beynin uyku ve uyanıklık dönemlerine ait özellikler ayırt edilebilir. Boy yaklaşık 34 cm, ağırlık 820 gr.’dır.
Bu haftalarda birdenbire karında sertleşme hissedilebilir. Bunlar rahimde görülen normal kasılmalardır, ancak 30 saniyeden uzun süren ve 15 dakikadan daha sık aralıklarla oluşan düzenli kasılmalar hissederseniz, erken doğum eylemi olabileceğinden, hemen doktorunuzu aramalısınız. Bu dönemde solunum ve uyku problemleri çekilebilir. Yatmadan önce kısa bir yürüyüşe çıkmak, ya da yatarken kullanılan yastık sayısının arttırılması önerilir. Ayrıca kan basıncını kontrol etmek amacıyla haftada 2 kez tansiyon ölçülmesi faydalıdır.
Bu haftada beyin ve akciğer gelişimini hızla sürdürmeye devam eder. Bebek parmağını emer ve böylece çene kasları gelişir.
Boy: 35 cm. Ağırlık: 1000 gr.

Karında büyüyen bebek nedeniyle sindirim sorunları, uykusuzluk, zor nefes alma gibi sıkıntılar artarak devam eder. Bol sıvı, taze sebze ve meyve almakla kabızlık azaltılabilir. Bu haftada bebeğiniz hızla büyümeye devam edecek ve rahim içini mümkün olduğunca dolduracaktır. Rahim büyüklüğünüz neredeyse kaburgalarınızın seviyesine ulaşmıştır. Bu haftada bacaklarınızdaki varislerde artma ve bacaklarınızda şişme fark edebilirsiniz. Hemoroid (basur) probleminiz varsa kötüleşebilir, bacaklarınızda sık sık kramplar yaşayabilirsiniz. Bu haftada eşinizle kan uyuşmazlığınız varsa doktorunuza bunu hatırlatmalısınız.
Bu dönemde bebeğinizin kalsiyum ihtiyacı artar. Eğer yeterli kalsiyum alınmazsa annenin kemiklerindeki kalsiyum deposu azalır.
Bebeğin akciğerleri hızla yapı ve fonksiyon açısından dışarıda yaşamaya hazır hale gelmektedir. Beyinde (REM ) derin uyku (rüya) dalgaları tespit edilebilir. Erken doğum halinde yaşama olasılığı artmıştır. Zayıfça ağlayabilir, hıçkırır, vücudu yağ depolamaya başlar. Bebek sesleri tanımaya başlar. Kişiliğin bu haftadan itibaren oluştuğu düşünülmektedir. Boy:36 cm. Ağırlık:1100 gr.
Son trimester denilen bu dönem 40 haftaya kadardır. Çoğu kadın bu trimester sırasında ortalama 5 kg alır. Rahim büyümeye ve çevre organlara bası yapmaya devam eder. Böylece gebeliğin ilk haftalarındaki gibi sık idrar yapma isteği tekrar ortaya çıkabilir. Her türlü vaginal kanama ve iç çamaşırınızı ıslatırcasına bol gelen akıntı veya sıvıyı doktorunuza bildirmelisiniz. Su kesesi normalde doğumda veya doğuma yakın dönemde açılır. Erken açılması durumunda, anne ve bebek için ciddi enfeksiyon riski ile karşılaşılabilir.
Bebeğiniz gözlerini açabilir ve başını rahim içinde sürekli döndürebilir. Yağ tabakaları oluşmaya devam eder. Duyuları tamamen gelişmiştir, ışık, ses,tat ve kokuyu algılayabilir. Boy: 38 cm. Ağırlık: 1300 gr'dır.
Anne adaylarında rastlanacak sindirim sistemi ile ilgili sorunlar yüksek lifli yiyecekler tüketerek ve bol sıvı içerek azaltılabilir. Bacaklarda kramp şikayetleri ile oldukça sık karşılaşılır. Doğuma kadar vitamin ve mineral alımını sürdürmek, hem anne hem de bebeğin sağlığı açısından oldukça önemlidir. Bu sırada annenin ağırlığı da 7 – 8 kilo kadar artmıştır. Bebek hareketleri sayılarak çocuğun sağlığı hakkında kabaca bilgi edinmek mümkündür. Bebek bir gün içerisinde, annenin uyanık olduğu yaklaşık 12 saatlik süre boyunca 10 kez hareket ediyorsa bu olumlu olarak yorumlanır. Bebek hareket etmiyor veya az hareket ediyorsa doktorunuza danışmalısınız.
Bebeğin gittikçe aşağıya inmeye başladığınıbfark edebilirsiniz. Bu durumda hafifleme ve karnın alt kısımlarında basınç artması hissi olur, hatta bebeğin dışarıya fırlayacağı hissine bile kapılabilirsiniz. Nefes alma ve yemek yemek kolaylaşmasına rağmen yürümek rahatsız edici olabilir ve sürekli idrar yapma ihtiyacınız olduğunu hissedebilirsiniz.
Bebeğiniz yaklaşık 1350 gr ağırlığında ve 45 cm uzunluğundadır. Lanugo tüyleri kaybolur.
Rahim artık tüm karnı dolduracak kadar büyüdüğünden solunum, sindirim ve dolaşım sistemindeki yüklenme giderek artmaktadır. Anne normalde 8-10 kg civarında kilo almış olabilir. Bebeğinizin yeri iyice daralmıştır ve kendine yer açmak için organlarınızı yukarı doğru itmekte, midenizi iyice sıkıştırmaktadır. Midenizde yanma ve sindirim güçlüğü olabilir.
Bebeğiniz rahim içinde görebilir, ışığı karanlıktan ayırabilir. Ayrıca gözlerini kırpabilir ve kapatabilir. Bebek daha az hareket etmektedir, çünkü hareket etmesi için yeterince yer yoktur. Boyu 45 cm,ağırlığı 1750 gr kadardır. Gittikçe artan cilt altı yağ dokusuna bağlı olarak şişmanlamaktadır. işitme duyusu iyice gelişmiştir, tanıdık sesleri ve müziği ayırabilir.
Bu haftadan itibaren doktor kontrollerine daha sık gitmelisiniz (2 hafta arayla ). Son ay ise doktor kontrollerine her hafta gitmelisiniz. Bu aylarda bazı annelerde meme başından "colostrum" denilen ilk süt gelebilir. Bebeğin büyüklüğü, pozisyonu ve içinde yüzdüğü sıvı miktarına bağlı olarak karın değişik şekillerde görülebilir. Daha önce doğum yapmış olsanız bile her gebeliği farklı algılayabilirsiniz.
Bel, kasık, bacak ağrıları artabilir. Dinlenirken bacaklarınızı yüksekte tutunuz. Yatarken sol yana yatmaya ve bacak altı veya aralarına karnınızın yatağa dayandığı tarafa yastıklarla destek olabilirsiniz.
Rahim içinde hareket edebileceği alanlar hızla azalmaktadır. Gözlerini açıp kapar ve solunum hareketleri yapar. Saçları alın sınırına uzanmış yağ ve kas dokusunda artış hızlanmıştır.Cilt altı yağ dokusu gelişmeye devam ettikçe bebeğinizin rengi kırmızıdan pembeye doğru dönmeye başlar.
Bu dönemde erken doğum ihtimali beliren bebekler mutlaka yoğun bakım ünitesinin olduğu hastanelerde doğurtulmalıdırlar. Beyin gelişmesi hızlanmış ,göz irisi ışık ve karanlığa cevap verir. Bebek uyur ve hareket eder. Boy:46 cm, Ağırlık:1800 gr.
Gebelikte artan relaxin hormonu uyluk eklemlerinizi gevşettiğinden yürüyüşünüz zorlaşır. Eller belde ve belinizi öne doğru iterek yürümeye başlarsınız. Özellikle geceleri rahat bir pozisyonda dinlenmelisiniz. El ve ayaklarınızda şişme varsa mutlaka tansiyonunuz daha yakın takip edilmelidir. Bebeğinizin dışarıda yaşama şansı giderek artmaktadır. Akciğerlerden (alveollerden) salgılanan surfaktan denilen bir madde artmaya başlamıştır.Bu maddelerin artışı ile bebeğin dış ortamda solunum sıkıntısı olmadan yaşama kabiliyeti artacaktır.
Bebek şimdi yaklaşık 2000 gr. ağırlığındadır ve 47cm uzunluğundadır. Nefes alma pratiği yaparak akciğerlerini çalıştırmaktadır. Bu haftadan itibaren haftalık kilo artışınız olan 500 gr’ ın kabaca yarısı bebeğe gider. Bebeğiniz bundan sonraki yedi hafta boyunca doğum ağırlığının yarısından fazlasını alarak, rahmin dışındaki yaşam için kendini hazırlar. Bu yağ depolanmalarından dolayı cilt kalınlaşır ve pembeleşir. Erkek fetuslarda testisler yumurtalık kesesi içine girmiştir. Cilt rengi kırmızıdan pembeye döner.
Bu dönemdeki en yaygın şikayet yorgunluktur, uykusuzluk ve ağrı şikayeti artar. Dinlenme ve her gün açık havada yapacagınız kısa yürüyüşler kaslarınızda rahatlama sağlar. Kilo artışı devam eder. “Braxton Hicks” denilen ağrılar rahmin zaman zaman sertleşmesine yol açar.
Doğum yaklaştıkça gebelik takibinizi yapan doktorunuz sizi doğum hakkında bilgilendirmeye başlamalıdır.
Doğuma kadar vitamin ve mineral alımını sürdürmek hem anne hem de bebeğin sağlığı açısından önemlidir. Halsizlik ve yorgunluk özellikle 34. haftadan sonra daha sık hissedilir. Sizin ve bebeğinizin sağlığı açısından doktor kontrolleri sıklaştırılmalıdır. Bu muayeneler sırasında tansiyonunuz ölçülür, rahimin büyümesi kontrol edilir ve bebeğinizin ultrasonla ölçümleri yapılarak kilo artışı, amnion sıvısının miktarı, bebeğinizin rahim içindeki pozisyonu, plasentanın yerleşimi ve kalitesi değerlendirilir. Gerekiyorsa NST(non-stress test) ile bebeğinizin kalp atışları ve rahim kasılmaları değerlendirilir.
Bebeğiniz yaklaşık 2300 gr ağırlığındadır ve ortalama 47 cm. uzunluğundadır. Muhtemelen baş aşağıda pozisyonunu almıştır. Ancak pozisyon değiştirmeye devam edebilir. Kafa kemikleri halen oldukça yumuşaktır ve tamamen birleşmemiştir, böylece bebeğin dar doğum kanalından çıkışını kolaylaştırırlar. Ayaklarınızın, ellerinizin, yüzünüzün ve ayak bileklerinizin şiştiğini ve bu ödemin sıcak havalarda ve günün ilerleyen saatlerinde daha da kötüleştiğini fark edebilirsiniz. Bebeğiniz ve böbrekleriniz için bol sıvı tüketmelisiniz. Vucutta belirgin ödem, aşırı kilo artışı, tansiyon yükselmesi preklampsi bulgusu olabilir. Bu bulgularla karşılaştığınızda doktorunuz tarafından dikkatli takip edilmelisiniz.
Haftalık kilo artışınız 350-500 gr dır, ve bebek sizin her hafta aldığınız kilonun yarısı kadar kilo almaktadır( 180-250 gr ). Doktorunuz tarafından aksi söylenmedikçe cinsel ilişkide bulunmanızın sakıncası yoktur. Rahatlamak için duş yapmanız, istirahat etmeniz, açık havada kısa yürüyüşler yapmanız iyi gelecektir. Bebeğin hareketlerini izlemeli , eğer bebek hareketlerinde belirgin azalma veya hiç oynamadığını farkederseniz mutlaka doktorunuza bildirmelisiniz.
Bebeğiniz 2500 gr’ın üzerindedir ve muhtemelen 50 cm'e yakın bir uzunluktadır. Bu haftada doğan bebeklerin yüzde 99'u yaşar. Akciğerler genellikle tamamen gelişmiştir ve 35 haftadan önce doğan bebeklerde veya prematürelerde ölüm nedeni olan solunum problemleri bu haftadan sonra daha kolaylıkla çözümlenir.
Bebeğinizin yağ depolaması devam eder. Tüm organ sistemleri gelişim ve olgunlaşmasını tamamlamıştır. İçinde yüzdüğü suya oranla rahim içinde daha fazla yer kaplamaya başladığından hareketleri de çok kolay olmayacaktır. Bebeğiniz 2600 gram kadardır. Kilo artışı, özellikle yağ depolanması omuzlar hizasında başlayacaktır.
Bu haftadan sonra doktorunuz sizi her hafta ultrasonla degerlendirmek için kontrole çağırabilir. Rahminiz orjinal hacminin 1000 katı kadar genişlemiştir ve hiç yeriniz kalmamış gibi hissedebilirsiniz, rahim muhtemelen kaburgalarınızın altındadır. Muhtemelen toplam 12 ile 16 kg. arasında kilo almışsınızdır.
Bebeğiniz 2800 gram kadardır. Yağ artık yanaklarda depolanmaya başlar, deri altında yağ dokusunun depolanmasından dolayı vücut daha dolgundur ve yüz cildindeki buruşukluklar kaybolur. Bebek yavaş yavaş doğum kanalına girer.
Artık bu haftadan itibaren bebeğinizin herhangi bir gün doğmasında sakınca yoktur. Yaklaşık 3000 gr. ağırlığındadır ve 51 cm. uzunluğundadır. Haftalık doktor ziyaretlerinizde doktorunuz bebeğinizin ne durumda olduğunu, rahim ağzında açılma olup olmadığını, bebeğin doğum kanalına ne kadar uzaklıkta olduğunu kontrol etmek isteyebilir. Bu dönemde hekiminizle net olarak doğum şekli hakkında konuşmalısınız. Hekiminiz ultrason muayenesi ile bebeğinizin rutin kontrollerini yaparken, gerekirse uygun aralıklarla NST de yapılmalıdır. Ultrasonla bebeğinizin soluk alıp verme hareketlerinin izlenmesi bebeğinizin iyi durumda olduğunun da göstergesidir.
Bebeğinizin büyüklüğü çok arttığından rahim içinde hareket etmesi zorlaşır ve bebek hareketlerinde azalma fark edebilirsiniz. Bebeğiniz hareket ederken kendini daha çok hissettirmeye başlar. Geceleri sizi daha sık uyandırabilir. Vücudu iyice şekillenmiş, doğum kanalına yerleşme çalışmaları devam etmektedir. El ve ayak tırnakları artık parmakların ucuna kadar uzamıştır.
Artık her an doğum yapabilirsiniz ve artık bu normal zamanında bir doğum olarak tanımlanır. Araştırmalara göre doğumların ancak %5'i beklenen doğum tarihinde olmaktadır. Doğumların %60'ı ise beklenen doğum tarihinden 1 hafta önce olmaktadır.
Bu haftada bebeğinizin kafa çevresi ile karın çevresi yaklaşık olarak birbirine eşittir. Bebeğiniz 3000 gr’ı geçmiştir ve yaklaşık 51 cm uzunluğundadır. Bebeği kaplayan tüylü lanugo tabakasının çoğu kaybolmuştur ve peynir benzeri tabaka(vernix caseosa) da yok olmuştur (bir kısmı doğumda kalabilir). Her ikisi de, diğer sekresyonlarla birlikte bebek tarafından yutulacak ve bebeğin bağırsaklarında tutulacaktır. Bunlar bebeğin ilk bağırsak hareketleriyle atılan siyah renkli bir dışkıyı oluşturur. Buna "mekonyum" diyoruz.
Bebeğiniz muhtemelen başı doğum kanalına girecek şekilde pozisyon almıştır. Halen bağışıklık sistemi tam gelişmemiştir ve plasenta aracılığı ile anneden antikorları( bağışıklık hücreleri) almaya devam etmektedir. Sizden geçen antikorlar bebeğinizin doğum sonrası en az 6 ay süreyle enfeksiyonlara karşı mücadelesinde yardımcı olacaktır. Doğumdan sonra bebek, bazı antikorları (Ig A) anne sütünden almaya devam edecektir.
Son haftada amniyon zarı(su kesesi) her an açılabilir ve sularınız gelebilir. Bazen bardaktan boşalırcasına hızlı ve fazla miktarda olan su gelmesi, bazen çok yavaş olabilir. Hatta kendinizi idrar kaçırmış gibi hissedebilirsiniz. Miktarı ne olursa olsun sularınızın geldiğini düşünüyorsanız zaman kaybetmeden doktorunuzu aramalı ya da hastaneye gitmelisiniz.
Artık bebek çok sık uyumaya başlamıştır. Büyük gün çok yaklaşmıştır. Boyu yaklaşık 51 santim, kilosu 3.250 gramdır.
Bebeğiniz doğum gününe hazırdır. Cildi pembe - kırmızı bir renkte, boyu yaklaşık 52 santim, kilosu 3.300-3.500 gramdır.
Normal doğuma karar verildiğinde ultrason ve NST(non-stress test) ile bebeğin hareketleri, kalp atışları ve amnion sıvısının miktarı değerlendirilir, beklenen doğum tarihinin gelmesine rağmen sancıları başlamamış gebeler için 7 gün daha beklenebilir. Bu süre sonunda da doğum sancıları başlamamışsa öncelikle suni sancı denenir. Suni sancıya rağmen doğum eylemi başlamıyorsa ya da bebek doğum kanalında ilerlemiyorsa ya da bebek kalp atışları bozulmaya başlarsa bebek sezeryan ile doğurtulur.
Doğum anı yaklaştıkça rahim ağzı yavaş yavaş açılmaya başlar. Bu açıklık yaklaşık 10 cm’e ulaştığında doğumun ilk evresi tamamlanmıştır. Bundan sonra başlayan ikinci evre ile bebek annenin doğum kanalında ilerler ve anne karnında geçirdiği yaklaşık 40 haftalık süreyi tamamlayarak dünyaya gelir.